Ahead of the New Year's Eve festivities, the local fire brigade issued a reminder of the consequences of the misuse of fireworks.
While the sale, possession, and use of fireworks is banned for amateur users across the Brussels-capital Region, several cases of illegal firework sales have already been reported in the capital.
In a statement on Wednesday, fire brigade spokesperson, Walter Derieuw, called on Brussels residents to obey the regional ban for the sake of their safety.
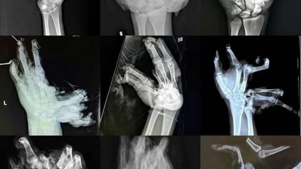
Along with the statement, Derieuw shared an image of X-rays of the hands of victims of firework accidents to illustrate the physical consequences of the misuse of the explosives.
"Every year, the emergency services treat serious injuries caused by the unsafe use of fireworks," he said. "A moment of carelessness can lead to permanent, irreversible injuries."

Image of x-rays of hands after a firework accident. Credit: Brussels Fire Brigade
Those who want to start the year safely with a bang can still enjoy a professional firework display at Heysel in Laeken by the iconic Brussels monument, the Atomium.
The Brussels regional crisis centre is set to be activated throughout the night to ensure coordinated security measures across the capital, according to the public safety agency safe.brussels.
The local emergency services, including local police zones, have an integrated plan in place to prevent and respond to major incidents on the last day of 2025.
“Behind the urban buzz, hundreds of professionals are working quietly to keep everyone safe,” said Rudi Vervoort (PS), outgoing minister president of the Brussels-Capital Region.

